In medical science, certain cases are so rare that they defy established understanding and leave even the most experienced doctors searching for answers. While such astonishing discoveries are often reported
from distant corners of the world, this one unfolded much closer to home, in Assam, India.
It began quietly, with no warning signs at birth. But when the infant was just seven months old, her parents noticed an unusual swelling in her abdomen. What initially seemed like a minor issue soon grew steadily worse, eventually affecting her breathing and signalling that something far more serious was unfolding inside her tiny body.
Sudden Weight Loss Despite Normal Growth
From birth until seven months, the baby’s growth appeared normal, with her weight reaching 9.5 kg. However, as the abdominal swelling increased, she began losing weight. By the time she was 11 months old, her weight had dropped to 8.8 kg, leaving her parents deeply concerned.
Doctors conducted a series of basic tests, including blood work, urine analysis and a chest X-ray, all of which returned normal results. Despite this, the child’s worsening condition remained unexplained, prompting doctors to take a closer look.
CT Scan Reveals Brain Tissue Outside The Skull
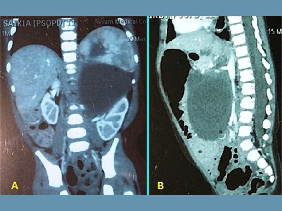
A contrast CT scan finally revealed the cause: a massive growth in the lower abdomen that had displaced vital organs such as the kidneys and pancreas. The findings stunned the medical team.
Further investigation confirmed the condition as neuroglial heterotopia, an extremely rare disorder in which brain tissue develops outside the cranial cavity. While such tissue is occasionally found near the head or neck, its presence deep within the abdomen is extraordinarily rare. Worldwide, only six similar cases have ever been documented.
Given the seriousness of the condition, doctors decided to operate immediately. The surgery was exceptionally challenging, as the mass was located dangerously close to major blood vessels and the kidneys. Once removed, the growth weighed around 550 grams, nearly half a kilogram, an astonishing burden for an infant.
A Remarkable Recovery
The tumour contained multiple cysts of varying sizes, but the operation was a complete success. Just 12 hours after surgery, the child began drinking milk, a moment that deeply moved both doctors and family members. She was discharged from hospital within four days.
Follow-up examinations showed that the child is now active, healthy and steadily gaining weight. She plays like any other child her age, with no signs of complications. This extraordinary case stands as a moment of pride not only for Assam but for India as a whole, highlighting the expertise of Indian doctors who solved a rare medical mystery without international assistance.











/images/ppid_59c68470-image-176641752850976630.webp)